Що таке флюс: детальний розбір
Ключове питання, яке розглядається у цьому матеріалі — що таке флюс. Флюс, або периостит, — це запалення околощелепних тканин, яке найчастіше пов’язане із захворюваннями зубів і ясен. Відомий як досить болісний та неприємний стан, флюс може викликати серйозні ускладнення, якщо вчасно не звернутися до лікаря. Розглянемо детальніше, що таке флюс, його симптоми, причини виникнення та способи лікування.
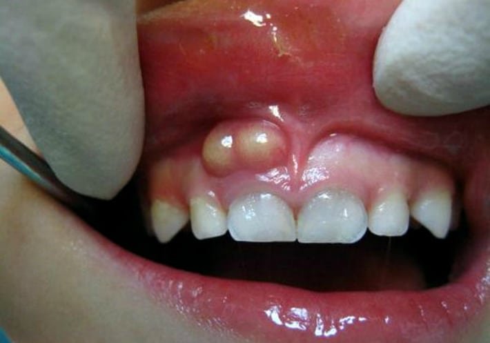
Симптоми флюсу
Флюс характеризується яскраво вираженими симптомами, які можуть відрізнятися залежно від стадії та індивідуальних особливостей організму. Ось найпоширеніші симптоми:
- Сильний гострий або пульсуючий біль в ураженому зубі або яснах;
- Набряк та почервоніння в області ураження;
- Підвищена чутливість ясен;
- Збільшення лімфатичних вузлів у шиї або під щелепою;
- Підвищення температури тіла.
Причини виникнення флюсу
Існує кілька основних причин, які можуть призвести до розвитку флюсу:
- Кариєс: основна причина появи флюсу. При відсутності належного лікування карієс може призвести до запалення пульпи зуба, що часто є передумовою для розвитку флюсу.
- Травми: пошкодження зуба чи ясен може провокувати запальний процес у тканинах.
- Інфекції: присутність інфекцій у ротовій порожнині може стати причиною периоститу.
- Інші захворювання: деякі хронічні хвороби можуть сприяти виникненню флюсу.
Методи діагностики
Щоб точно виявити флюс, стоматолог зазвичай використовує кілька методів діагностики:
| Метод | Опис |
|---|---|
| Візуальний огляд | Оцінка зовнішніх симптомів та стану ротової порожнини. |
| Рентгенографія | Допомагає виявити рівень ураження та визначити локалізацію запалення. |
| Консультація | Обговорення з пацієнтом можливих причин та анамнезу. |
Лікування флюсу
Лікування флюсу має починатися з професійної стоматологічної консультації, яка допоможе визначити відповідний метод лікування:
Медикаментозне лікування
У більшості випадків, якщо флюс виявлений на ранніх стадіях, лікар може призначити антибіотики для боротьби з інфекцією та зменшення запалення. Часто застосовують також протизапальні засоби для зниження болю та дискомфорту.
Хірургічне втручання
У складніших випадках, коли ліки не дають бажаного ефекту, може знадобитися хірургічне втручання. Це може включати дренаж нагноєння або видалення ураженого зуба.
Профілактика флюсу
Щоб уникнути розвитку флюсу, важливо дотримуватись кількох простих правил:
- Регулярно відвідуйте стоматолога для профілактичного огляду;
- Слідкуйте за гігієною порожнини рота, регулярно чистіть зуби;
- Увагу слід приділити лікуванню карієсу та інших захворювань зубів.
Висновки
Отже, що таке флюс? Це серйозне стоматологічне захворювання, яке вимагає уваги та грамотного підходу в лікуванні. Хоча флюс може здатися нетривіальною проблемою, він може призвести до важких ускладнень, якщо його не лікувати своєчасно. Маючи знання про симптоми, причини і методи лікування флюсу, можна зменшити ризик розвитку цього захворювання та зберегти здоров’я ротової порожнини.







